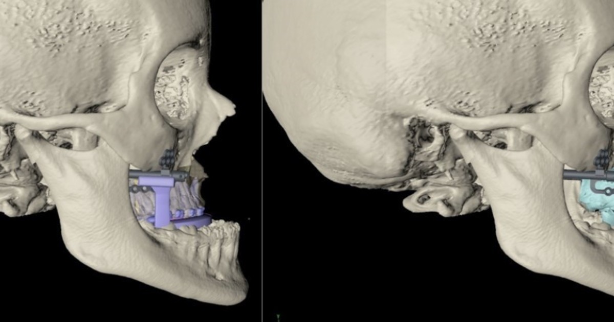
La mujer había sufrido una lesión grave de la cabeza. Gracias a esta compleja operación la paciente recuperó la posibilidad de hablar y alimentarse. Navegación de entradas Murió el reverendo Jesse Jackson a los 84 años, defensor de los derechos civiles en EE.UU. y fundador de Rainbow PUSH Javier Milei y sus medidas, EN VIVO: el Gobierno define los últimos detalles de la reforma laboral antes de que se debata en comisiones de Diputados